![]()
Doctor’s Stedem Dental practice offers you an individual, complete treatment for each of our patients.
We can help you in different dental areas as:
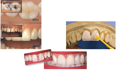
Dental Bleaching ![]()
Tooth Whitening treatments have turned into one of the hottest themes in dental esthetics. Every day new techniques enter the market making this treatment available for almost each patient. There are many products and treatments offered over the counter; however none of them are as efficient or long term as those provided by a Dental professional. Broken teeth, poorly fitting old restorations can present negative effects over the teeth when a non controlled bleaching is done. These types of problems can be avoided with a comprehensive oral examination done by your dentist. After the examination, Dr’s Stedem can give you the best treatment plan to ensure your new beautiful white smile.
How much is this treatment?
Restorative and Esthetic Dentistry ![]()
New generations of restorative dental materials help us to offer our patients beautiful and esthetic restorations. Even if you have broken teeth, old restorations with different shades or colors, or one or more teeth are missing. The use of composites or porcelain over decayed teeth and restorations can make a tremendous change in your smile. Each individual case must be evaluated first by our team of specialists in order to deliver the best treatment options.
A crown is a type of restoration that will be cemented over a prepared tooth looking to restore the form and function of the original. Decayed, broken and/or pigmented teeth compromise the normal function and esthetics for the patient. A bridge is a restoration that will replace a missing tooth making use of the two teeth adjacent to the missing tooth which will support the missing tooth. Both crowns and bridges can be made from multiple types of materials, from less to more esthetic. Each patient must be first evaluated to determine the best treatment option.
Periodontal Treatments (Gum Treatment) ![]()
Teeth were created with the purpose to last in mouth the entire life of the patient. However, proper care utilizing correct brushing, flossing and mouth rinse is needed daily. With these appropriate actions you will be able to prevent any infections or abnormalities of the gums.
If you have ever seen a TV commercial for tooth paste or tooth brushes, maybe you have hear the word periodontum. The periodontum is the name given to all those structures that surround the tooth and support it in order to maintain proper function in the mouth.
How can you recognize if you have a periodontal disease?
The ADA has classified symptoms of periodontal disease:
More about gum disease
As with most diseases, Periodontitis shows primary symptoms, but if you don’t take action when they appear the disease continues silently and sometimes painless until it becomes a real problem to your health.
The progression of this disease changes from patient to patient. Statistically, it is easy to say that half of the people over 18 years of age have primary periodontal disease symptoms, or as we call it Gingivitis. 3 out of 4 patients over the age of 35 have more advanced stages of periodontal disease.
Remember that periodontal disease is an infection that occurs around the supporting tissues of the teeth, affecting structures like the gum, the periodontal ligament and the bone which provides the ultimate support. It is very easy to loose healthy teeth due to advanced stages of this disease.
What should I do?
If you presently have any of the described symptoms, please contact us for a simple exam. We can provide more information of this disease, so that you may better understand it and learn how to treat and prevent reoccurrences.
A periodontal exam is quick and easy to do. No pain or any other complications can occur during it. Once this oral exam is done by your dentist they will explain which treatment is best according to your periodontal condition.
How much is this treatment?

Extractions and Surgeries ![]()
Evolution in dentistry is always looking for more conservative procedures. Conserving as much healthy tooth structure as possible is the best option for preserving permanent tooth structure and a healthy functional dentition. Each tooth has a specific purpose and function in the mouth. The teeth work as a team in the first stage of food digestion known as mastication. A dental extraction or tooth extraction is the removal of a tooth from its socket in the bone. To extract a tooth is a decision that your dentist must make when there is no option or possibility of saving it.
An extraction is performed for positional, structural, or economic reasons. Some teeth are often removed because they are impacted. Teeth become impacted when they are prevented from growing into their normal position in the mouth by gum tissue, bone, or other teeth. Impaction is a common reason for the extraction of wisdom teeth. Extraction is the only known method that will prevent further problems from impaction.
Teeth may also be extracted to make room in the mouth prior to straightening the remaining teeth (orthodontic treatment), or because they are so badly positioned that straightening is impossible. Extraction is also used to remove teeth that are so badly decayed or broken that they cannot be restored. In addition, some patients choose extraction as a less expensive alternative to filling or placing a crown on a severely decayed tooth.
The best solution to avoid loosing teeth due to decay is prevention. Only routine check-ups performed by a dentist can give you this type of comprehensive prevention.
Oral surgery can be defined in several forms, for example:
Oral surgery is any type of surgery or procedure involving the mouth. It deals with the diagnosis and treatment of oral conditions of the jaw and mouth structures that require surgical intervention. Also oral surgery can be defined as a dental specialty limited to the surgical removal of teeth and the treatment of disease, deformities and defects of the jaws and associated structures.
However, oral surgery is not only limited to the intraoral procedures. It can be also defined as:
Oral and maxillofacial surgery is a specialty of dentistry concerned with the diagnosis and surgical treatment of congenital or acquired diseases, dysfunction, defects or injuries of the mouth, jaws, face, neck and associated regions. Maxilla refers to the jaws - lower maxilla or lower jaw is currently called the mandible and the term maxilla refers to the upper jaw.
To name some of the surgeries that are commonly performed in our dental office are:
All of these procedures are done under anesthesia and pain control procedures, using sterilized instruments in an aseptic area.
“In our office, you can forget the word pain during any of our procedures”.
Endodontics (Root canal treatments) ![]()

The root canal is the hollow area at the center of a tooth.
Years ago, if you had a tooth with a diseased nerve, you'd probably lose that tooth. Today, with a special dental procedure called “root canal therapy” you can save that tooth. Inside each tooth is the pulp which provides nutrients and nerves to the tooth, it runs like a thread down through the root. When the pulp is diseased or injured, the pulp tissue dies. If you don't remove it, your tooth gets infected and you could lose it. After the dentist removes the pulp, the root canal is cleaned and sealed off to protect it. Then your dentist will decide if it is necessary to place a titanium endopost inside the tooth treated and a crown over the tooth to help make it stronger.
When the pulp is diseased or injured and can't repair itself, it dies. The most common cause of pulp death is a cracked tooth or a deep cavity. Both of these problems can let germs (bacteria) enter the pulp. Germs can cause an infection inside the tooth. Left without treatment, pus builds up at the root tip, in the jawbone, forming a "pus-pocket" called an abscess. An abscess can cause damage to the bone around the teeth.
When the infected pulp is not removed, pain and swelling can result. Certain byproducts of the infection can injure your jaw bones. Without treatment, your tooth may have to be removed
Root canal treatments often involves from one to three visits. During treatment, our endodontist (a dentist who specializes in problems of the pulp) removes the diseased pulp. The pulp chamber and root canal(s) of the tooth are then cleaned, filled and sealed.
A dental implant is an artificial screw like object placed into your jaw to maintain bone structure and also used to support crowns and bridges. Dental implants are an ideal option for patients with good general oral health and who have lost a tooth or teeth due to periodontal disease, injury, or some other reason.
Dental implants are high-tech in nature; they are actually used more as a non invasive technique to replace missing teeth, avoiding the traditional bridgework or the use of removable prostheses. Implants avoid the neighboring teeth by not relying on them as in traditional procedures like the ones mentioned above.
A dental implant can
Are there different types of implants?
Yes today there are two different types of implants. The endosteal (in the bone), which is the most commonly used type of implant. The different types include screws, cylinders or blades which are surgically placed into the jaw bone. Implants like this are usually used as an alternative for patients that need bridges or are using removable prostheses. Then we have also the subperiosteal (on the bone). These implants are placed on the top of the jaw with the metal framework’s posts protruding trough the gum to hold the prostheses. This option is an ideal solution for patients who are unable to wear conventional dentures and who have lost the necessary supporting bone for the other type of implant mentioned above.
Mini-implants are a new type of implant that we offer in our office offer with a very good prognosis to support complete dentures or in some cases partial dentures. These mini-implants can be used also as middle abutments for some long fixed bridges when more than one tooth is missing. By using this technique the implant takes the pressure off the natural teeth that are supporting the bridge.
How do I know if I am a candidate for implants?
First, you as a patient must visit our dental office. Here one of our dental professionals will perform an exam and ask you some questions about your general health and oral habits. After this we can give you your treatment options.
Once we establish that you are qualified for implants you need a special X-Ray that will determine if you have enough bone structure that will support the implants. Next we may need to take some impressions of your mouth and probably some pictures. Once we have all of this information we will go over your case with an oral surgeon and periodontist to ensure that we can give you the best possible options. When every detail has been discussed, our team will need to sit down with you to discuss your specific treatment options.
What can I expect after treatment?
If you decide on implants you will be excited about the advantages over traditional treatments such as bridges, dentures or partial dentures. Once your mouth has been restored by our team of professionals it will feel as though you have your own teeth again. As you know, your own teeth require conscientious at home oral care and regular dental visits. Dental implants are like your own teeth and will require the same care. In order to keep your implant clean and plaque-free, brushing and flossing still apply. Our periodontist will aide you in home care techniques after treatment is complete.
Dental Prostheses ![]()
A dental prosthesis is an artificial replacement for one or more natural teeth or part of a tooth, or associated structures. We are even able to restore your smile even if you are an edentulous patient, which means that you lost all ready all your teeth for one reason or another. Your new smile, possible with complete dentures can be made to your exact specifications. You also have the option to support these complete dentures with implants. Another prosthesis option is the use of partial dentures, which replaces teeth and associated structures on a partially edentulous jaw (some missing teeth), and can be readily removed from the mouth. Dental prosthesis are used for cosmetic or functional reasons, or both. Dentures and partial dentures are designed by our specialist to meet your exact needs and specifications. The reconstruction of the dentition extensively damaged through tooth surface loss may require a removable or complete prosthesis. This can be the most cost efficient form of treatment when either the teeth are severely worn or the patient wants a simpler and more economical approach rather than fixed reconstruction.
Bite and Night Guards ![]()
There are a large number of problems that involve the teeth, head, neck muscles, ligaments, head bones and the temporo-mandibular joint (TMJ) involved during the masticatory functions. When these problems appear the correct functions of the mastication process become complicated. Most of the problems are centered at the TMJ also called, TMJ syndrome. TMJ can be caused by incorrect formation of the jaw bones, incorrect bite relation or simply too much stress reflected on the muscles that give support to the TMJ.
What are the symptoms?
There are several signs and symptoms of TMJ syndrome. Here are the descriptions of a few:
- Headache when waking up
- Stressed massater muscles (chewing muscles)
- Pain in or around the ears
- Grinding your teeth while you sleep (which can make your gums recede causing them to look longer than they really are)
- Clicking or popping when opening
- Pain or difficulty during chewing
- Wear or flattening of the teeth
- Pain in your head and neck muscles
